Implantes dentários em São José dos Campos com escuta ativa, confiança e histórico comprovado.
A ION nasceu do desejo de uma família que acredita no cuidado com a alma.
Dr. Luiz, com 26 anos de experiência em implantes dentários, fundou a clínica ao lado da esposa Lúcia, neuropsicopedagoga.
Estabelecida no Jardim Aquarius em São José dos Campos, a clínica já avaliou e atendeu mais de 3.800 pacientes. Com infraestrutura moderna e acolhimento diferenciado, é referência em implantodontia humanizada na região.





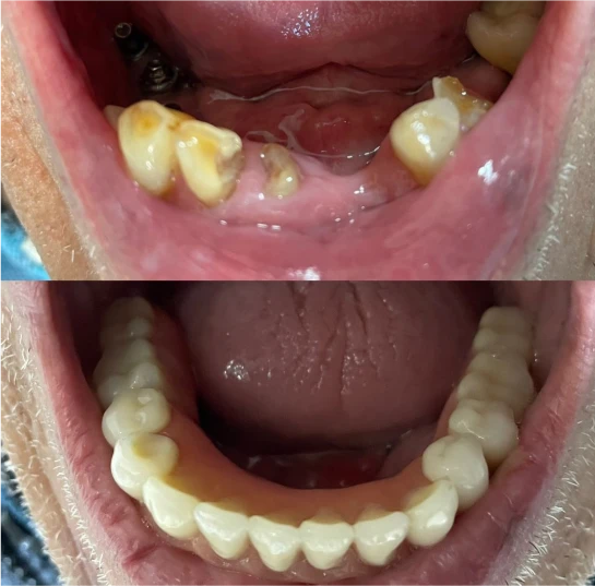
Solução moderna e segura para recuperar dentes perdidos. O implante dentário devolve ao paciente a função mastigatória, a autoestima e o prazer de sorrir com confiança.
A equipe da ION realiza o procedimento com precisão, empatia e atenção a cada detalhe, garantindo estabilidade e bem-estar.
Indicado para restabelecer a função e a estética de forma completa, especialmente em casos de múltiplas perdas dentárias.
Proporciona um sorriso bonito e natural, com firmeza e conforto para falar e se alimentar sem medo.
Com um plano de tratamento integrado, a reabilitação oral promove a harmonia funcional e estética do sorriso.
Avaliamos cada caso individualmente para devolver qualidade de vida ao paciente.
Extrações, correções gengivais e outros procedimentos são realizados com técnicas modernas, anestesia local e todo o cuidado para que você se sinta tranquilo.
Especialista em implantodontia com 26 anos de experiência, é conhecido por seu atendimento empático e precisão cirúrgica. Formado em Odontologia e com ampla formação complementar, já atendeu mais de 3.800 pacientes e é reconhecido pela abordagem humanizada no cuidado bucal.
“Conheça todas as teorias, domine todas as técnicas, mas ao tocar uma alma humana, seja apenas outra alma humana.”- Carl Jung
Publicado em FabianaTrustindex verifica se a fonte original da avaliação é Google. Atendimento humanizado pelo Dr.Wesley e Dr. Andre Luiz,a Eduarda é gentileza em pessoa😍Publicado em Lorrayne DiniceTrustindex verifica se a fonte original da avaliação é Google. Preciso compartilhar minha experiência com a Insiso Odontologia! Sempre tive receio de ir ao dentista porque tinha medo de sentir dor… Mas, para minha surpresa, desde a primeira consulta fui acolhida por uma equipe maravilhosa, que transmitiu muita segurança e cuidado em cada detalhe. A cada etapa do tratamento, fui percebendo que estava em mãos extremamente competentes. Tudo foi feito de forma leve, com atenção e, o mais importante: sem dor nenhuma. Esse cuidado fez toda a diferença e me deu a tranquilidade que eu precisava para confiar no processo. Quero agradecer especialmente ao Dr. André Luiz, que com sua paciência, dedicação e profissionalismo impecável, transformou meu sorriso. O resultado ficou simplesmente incrível — meus dentes estão impecáveis e hoje posso dizer que estou apaixonada pelo meu novo sorriso 😍🦷. Sou muito grata a toda equipe da Insiso Odontologia, que mudou minha percepção sobre ir ao dentista. Agora não vejo mais como um momento de medo, mas sim de cuidado, autoestima e transformação. Recomendo de olhos fechados essa clínica para todos que buscam qualidade, confiança e um atendimento humano de verdade.Publicado em Flavia FortunatoTrustindex verifica se a fonte original da avaliação é Google. Fiquei satisfeita com o atendimento recebido. A equipe demonstrou profissionalismo, atenção aos detalhes e um cuidado visível com a higiene e os protocolos de segurança, o que me trouxe bastante confiança durante o procedimento. A dedicação do Dr. André fez toda a diferença ao longo de todo o tratamento. Só tenho a agradecer.Publicado em Thais SouzaTrustindex verifica se a fonte original da avaliação é Google. Excelente atendimentoPublicado em Luciene CândidoTrustindex verifica se a fonte original da avaliação é Google. Otimo atendimento, parabénsPublicado em Horacio NeryTrustindex verifica se a fonte original da avaliação é Google. Amei o atendimento! Conclui o tratamento com excelência. A recepcionista Eduarda e Letícia são incríveis. Dr André tambémPublicado em Mauradelia RibeiroTrustindex verifica se a fonte original da avaliação é Google. Excelente atendimento feito pela Naiane, muito compreensiva, procura entender mais sobre nós pacientes.Amei!!Publicado em Ingryd EstherTrustindex verifica se a fonte original da avaliação é Google. Excelentes profissionais e ótimo atendimento ! Além da qualidade e responsabilidade com o cliente ! Indico muito.Publicado em Lc ViniciusTrustindex verifica se a fonte original da avaliação é Google. Super indico
Marque sua consulta.